Smile Gallery
Beautiful dentistry is a combination of art and science designed to improve patient health, comfort, and appearance. Using tooth-colored restorations, we can repair and protect the smiles of the families in our Elk Grove community.
Take a moment to admire some of the beautiful smiles we have had the pleasure of creating here at Oak Tree Dentistry.










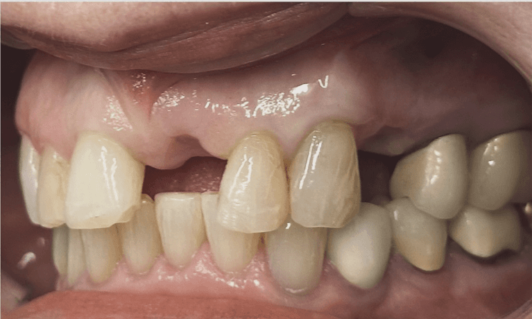
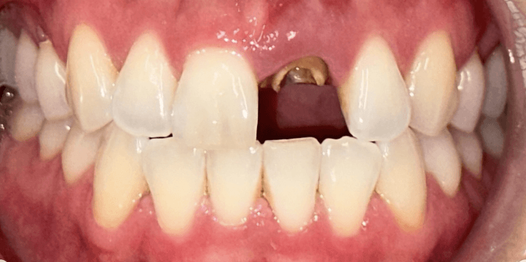
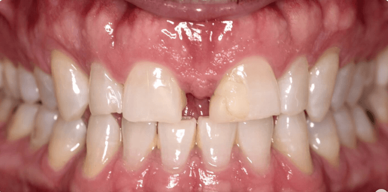
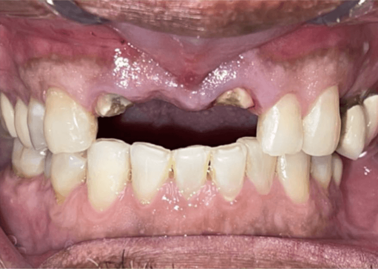
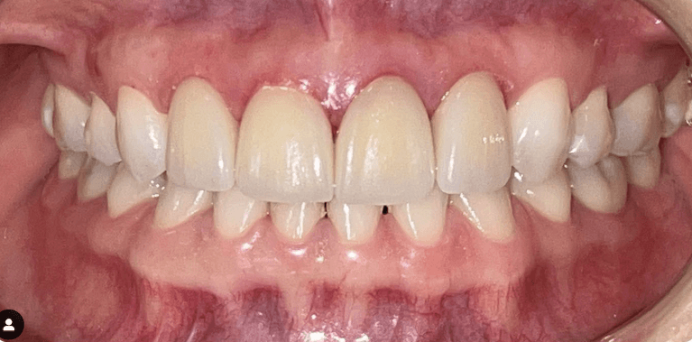
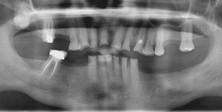
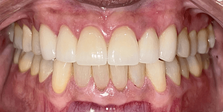
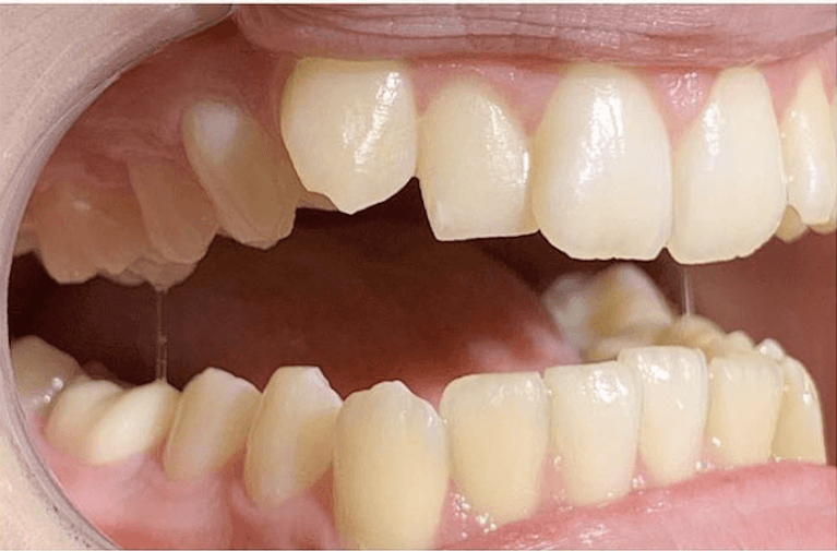
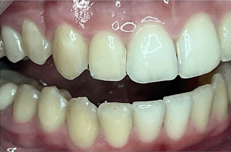
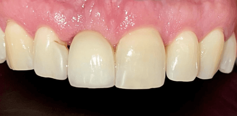
Broken Upper Central incisor with root canal replaced with Immediate implant after extraction.


Upper & Lower, All on 4 fixed implant teeth with finals. Patient went home with temp fixed teeth the same day.








Upper All on 4 fixed implant teeth with Finals. Patient went home with fixed temp teeth the same day.










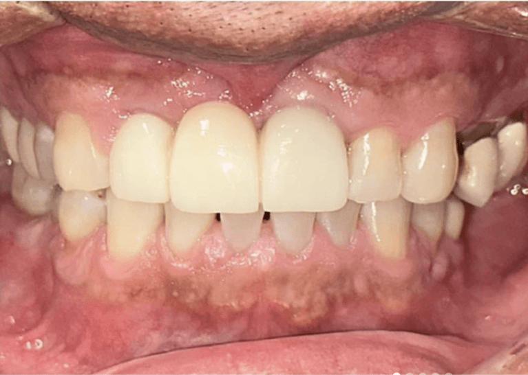
Failed front teeth bridge, replaced with implant bridge.
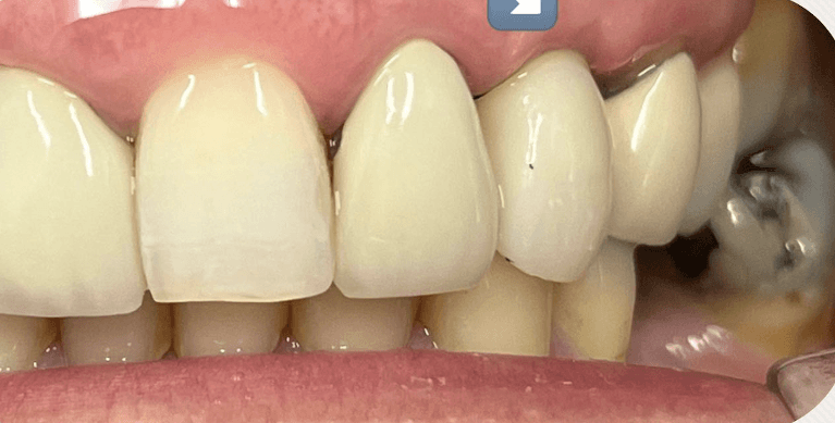
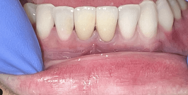
Implants placed immediately after extractions.


Complicated case. A trauma case with fractured ridge, knocked out teeth and not enough bone for implants. Before and after fixed bridge with pink colored porcelain margins to mimic gums.


Upper all on 4 fixed implant teeth. She wanted to try upper first, is coming back for lower all on 4.






























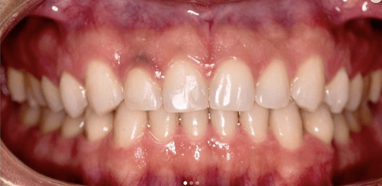
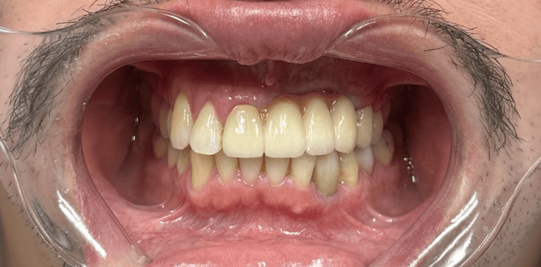
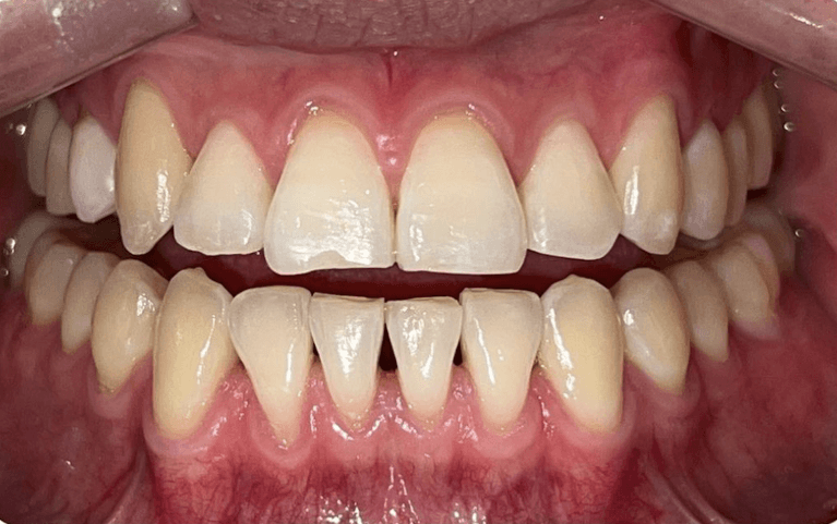
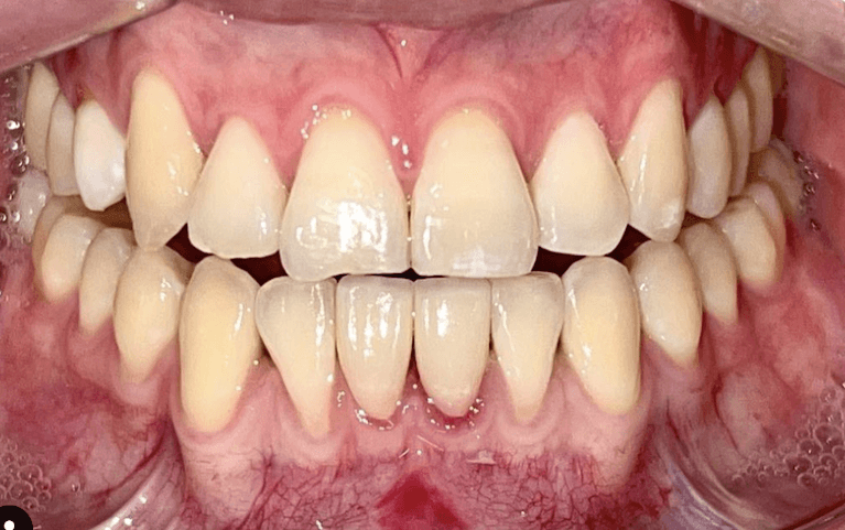
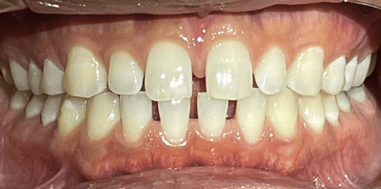
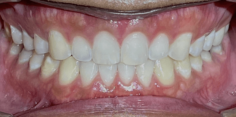
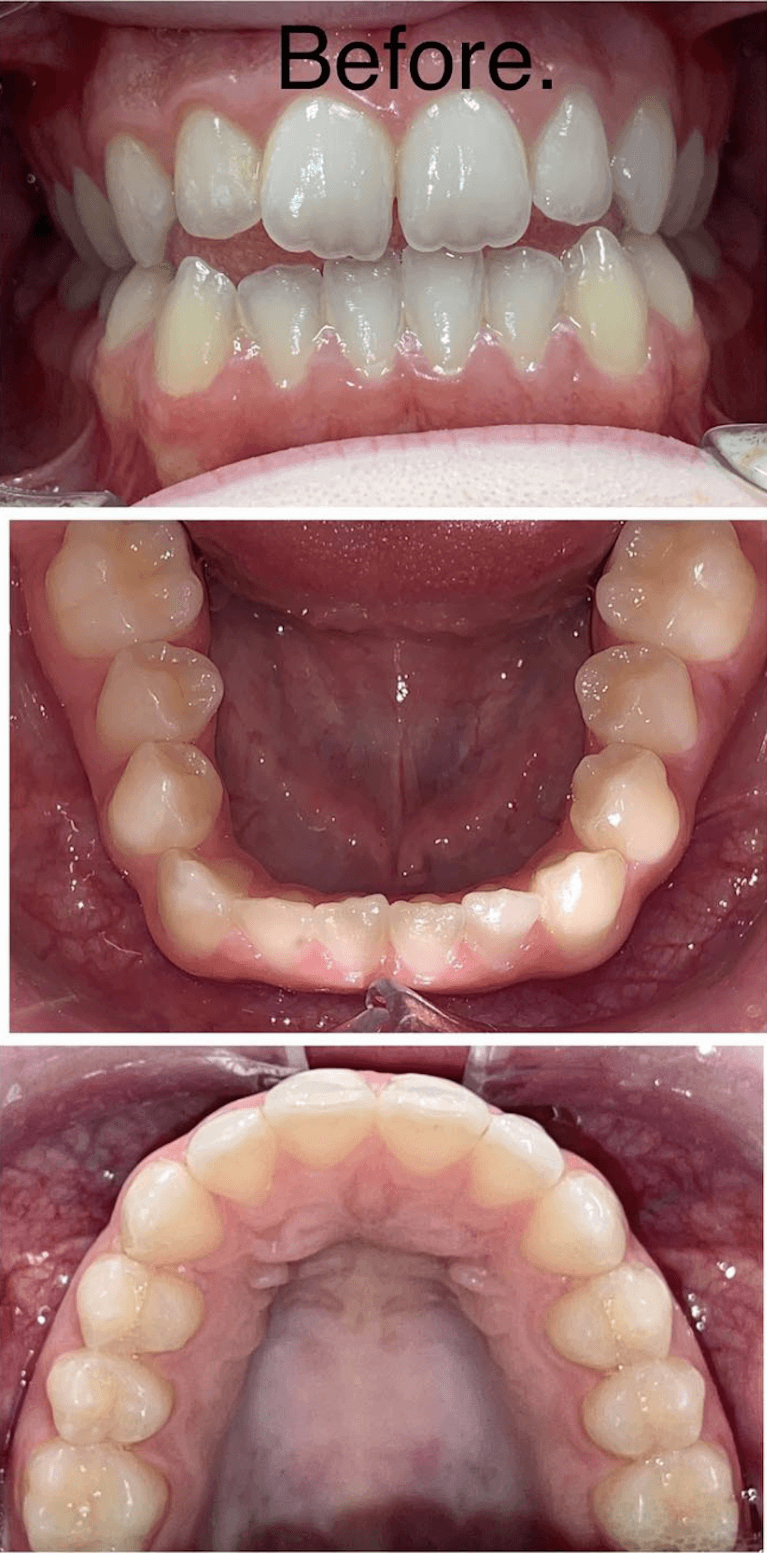
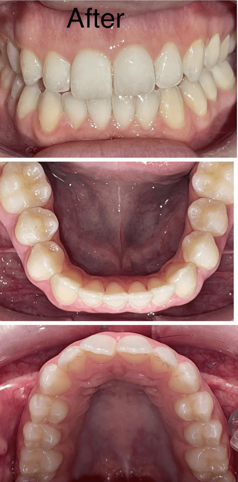
Before and after with Invisalign orthodontic treatment. Pictures taken with different phones at different setting. Used total of 27 aligners/trays. Treatment time 13.5 months






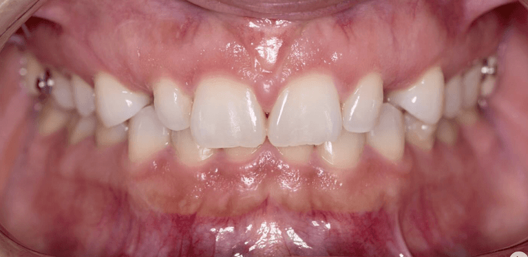
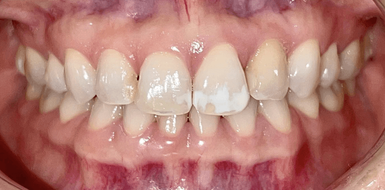
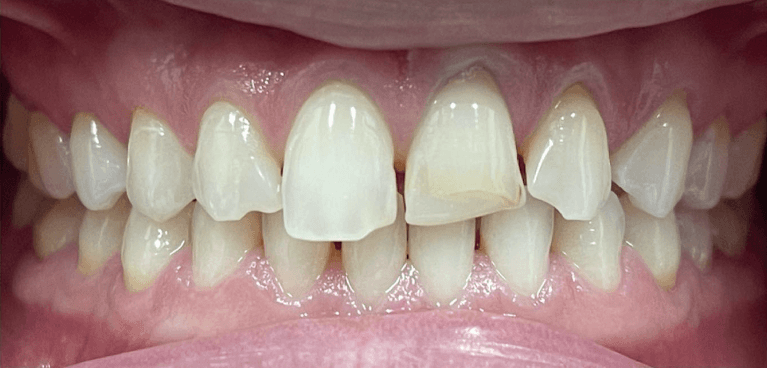
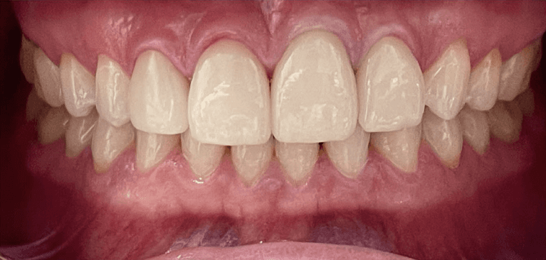
White spot treatment with Icon and mild spacing correction with Invisalign(5weeks only)
Sometimes it’s the little things that matter the most.


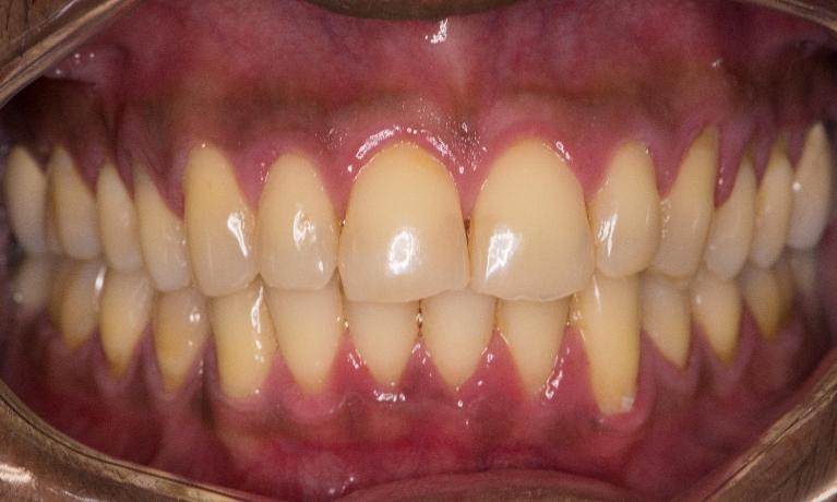
Laser gingivectomy(gum lift) to fix gummy smile and zoom whitening to lighten teeth color


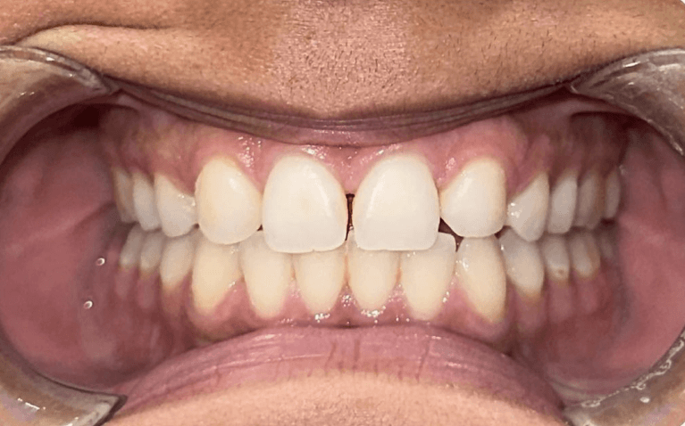
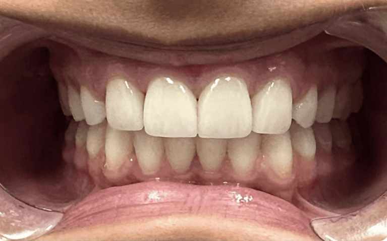
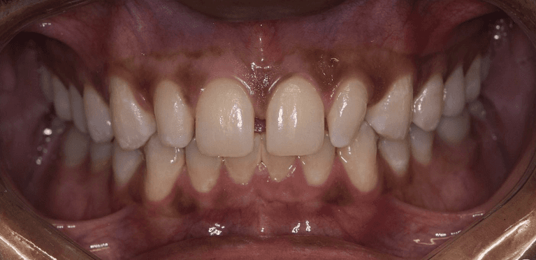
Smiles are always in fashion because the prettiest thing you can wear is a smile (maybe mask for a time being ) Before and after pictures of 4 porcelain veneers.






Smiles are always in fashion because the prettiest thing you can wear is a smile (maybe mask nowadays) Before and after pictures of yesterday’s case. Slight gum bleeding was from flossing..no biggie


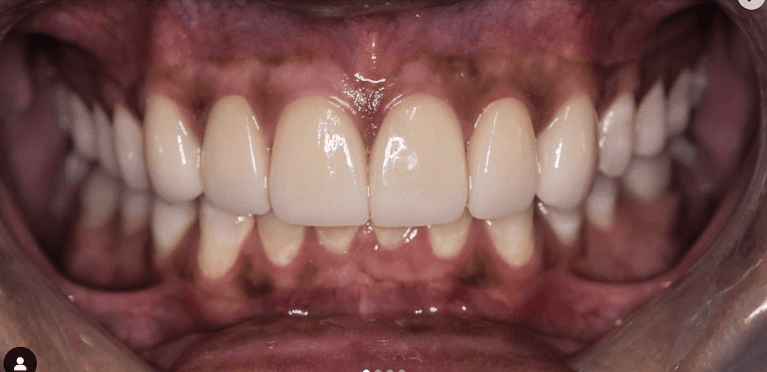
Implant supported fixed bridge to replace 5 missing teeth at front smile zone.


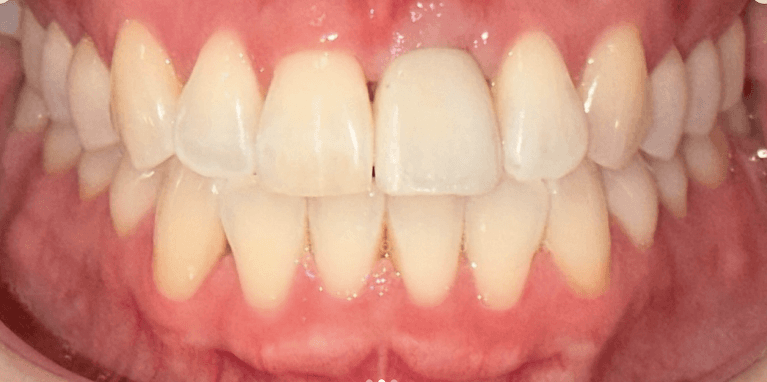
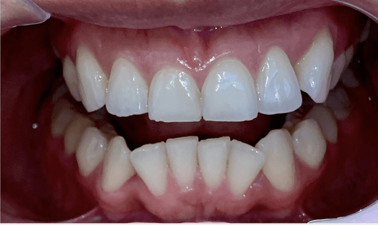
Invisalign Orthodontic treatment completed in 8 months to straighten teeth and improve esthetics.


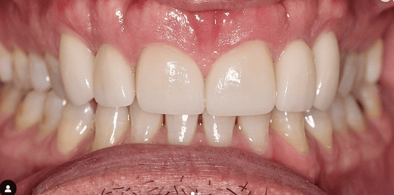
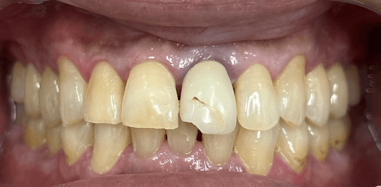
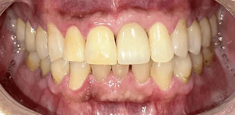
4 unit fixed porcelain bridge done to replace missing front teeth and improve smile and function.





